3D-Röntgen / DVT
<🖶
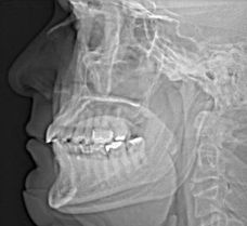
Darstellung in 3 Ebenen

Die normale Röntgenaufnahme hat einen würdigen Nachfolger erhalten. Die 3-D-Diagnostik mittels Digitalen Volumentomographen (DVT) bietet speziell im Bereich des Kopfes bisher unerreichte Möglichkeiten zur Darstellung der Knochen und Zähne. Dadurch wird in der Diagnostik und Therapieplanung eine bislang unerreichte Präzision bei niedrigster Strahlenbelastung erzielt.
DVT bei vielen Indikationsstellungen
Aufgrund der detailgetreuen dreidimensionalen Darstellung von Zähnen und Kieferknochen und durch die geringe Strahlenbelastung steht die 3D Volumentomographie für eine Vielzahl von Indikationsbereichen zur Verfügung, wie zur räumlichen Diagnostik von Wurzelkanälen und parodontalen Strukturen, zur Beurteilung von Nachbarstrukturen, wie Zähne, Implantate, Kieferhöhle und Nerven, zueinander. Dadurch läßt sich eine verbesserte Diagnose- und Planungssicherheit erreichen.
Exakte Diagnostik in 3D
In der Implantologie kann mit Hilfe der exakten 3D Diagnostik das vorhandene Knochenangebot genau auf Qualität und Quantität untersucht werden, wodurch eine optimale Nutzung des Knochens möglich wird. Auch lassen sich sensible anatomische Strukturen, wie Nerven oder Kieferhöhle genau erfassen, wodurch in Verbindung mit dreidimensionaler Planung die Sicherheit für den Patienten erhöht wird.
Aktualisiert:24.05.2026, 20:26:53